Jak nejlépe odstranit zubní kámen - praktický průvodce pro domácí péči a odbornou pomoc

Zdraví úst: Návštěva u zubního lékaře

Kalkulačka rizika zubního kamene

Tato kalkulačka vám pomůže posoudit, zda byste měli navštívit zubního lékaře kvůli zubnímu kamenu. Zadejte své informace a získáte doporučení pro vaši ústní hygienu.

Váš výsledek

Doporučení

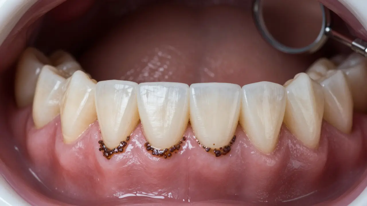
Zubní kámen není jen ošklivý - je to skutečný hrozba pro vaše zuby a dásně. Vzniká, když se plak, který se na zubech postupně hromadí, ztuhne pod vlivem minerálů ve slinách. Už po několika dnech se z něj stane tvrdá, tmavě žlutá nebo hnědá vrstva, kterou si neodstraníte běžným čištěním zubů. A pokud ho necháte, může vést k zánětům dásní, ztrátě zubů a dokonce k problémům s celkovým zdravím.

Proč zubní kámen není jen o estetice

Mnoho lidí si myslí, že zubní kámen je jen nepříjemný vzhled. Ale to je velká chyba. Ten tvrdý nános je skutečným pěstí pro bakterie. Pod ním se rozmnožují škodlivé mikroby, které způsobují zánět dásní - gingivitidu. Pokud se to nezastaví, přechází do parodontitidy, kdy se rozpadá kost kolem zubů. Výsledek? Zuby se začnou hýbat, dásně se stahují a zuby mohou padnout. Studie z Journal of Clinical Periodontology ukazují, že lidé s neodstraněným zubním kamenem mají až třikrát vyšší riziko ztráty zubů ve srovnání s těmi, kteří pravidelně chodí na profesionální čištění.

Co zubní kámen neodstraníte doma

Neexistuje žádný domácí prostředek, který by zubní kámen skutečně odstranil. Ani speciální zubní pasty, ani zubní nitě, ani iříky nebo čistící prášky to nezvládnou. Tyto věci mohou pomoci při odstranění povrchového plaku, ale ne těžkého, ztuhlého kamene. Pokud se snažíte kámen odstranit sami - třeba špachtelkou, hůlkou nebo dokonce nůžkami - riskujete poškození zubní skloviny, zranění dásní nebo infekci. V některých případech to dokonce může vést k nutnosti vytáhnout zub, který by jinak šetřil.

Jak se zubní kámen opravdu odstraní

Pravdivá odpověď je jednoduchá: jen odborník. Zubař nebo zubní hygienistka používají speciální přístroje, které kámen rozbíjejí bez poškození zubu. Nejčastější metoda je ultrazvukové čištění. Přístroj vydává rychlé vibrace, které rozdrbí kámen na malé částečky, zatímco stříká vodu, aby ochlazoval a vyplavoval odpad. To není bolestivé - jen cítíte lehké pískání a vibrování. Po tomto kroku se zuby ještě vyčistí pomocí jemného prášku (airflow), který odstraní zbytky plaku a pigmenty z kávy, čaje nebo cigaret. Výsledek? Zuby jsou hladké, světlejší a dásně se začnou hojit.

Zubní hygienistka provádí ultrazvukové čištění zubů

Kdy chodit na čištění?

Nečekáte, až kámen vypadne z očí. Doporučuje se čištění každých šest měsíců - i když nic nebolí. Někteří lidé však potřebují častěji. Pokud máte:

  • Časté záněty dásní
  • Plak, který se vám rychle hromadí
  • Červené, krvácející dásně
  • Používáte ortodontické zařízení (dráty)
  • Kouříte nebo pijete hodně kávy nebo čaje

…měli byste chodit každé tři až čtyři měsíce. Zubaři v Písku a na celé Česko už dlouho vědí: pravidelné čištění je levnější než následné léčení.

Co můžete dělat doma, aby se kámen nevyskytoval

Nejlepší léčba je prevence. A to začíná každodenní péčí:

  1. Čistěte zuby dvakrát denně - alespoň dvě minuty, používejte zubní kartáček s jemnými štětinami a fluoridovou pastou.
  2. Používejte zubní nitě denně - nejen mezi zuby, ale i pod dásně. Plak se tam tvoří nejrychleji.
  3. Přemýšlejte o své stravě - cukr, sladké nápoje a jemné sacharidy (třeba bílá chleba nebo sušenky) jsou jídlo pro bakterie. Vyberte více zeleniny, ovoce, sýrů a oříšků.
  4. Polákejte olejem - někteří lidé vyzkoušeli olejové polákaní (např. kokosový olej) a tvrdí, že jim pomáhá snížit plak. Není to náhrada za kartáček, ale může být doplňkem.
  5. Pijte vodu - voda čistí ústní dutinu a stimuluje tvorbu slin, které přirozeně brání nánosu.

Co se stane, když to necháte

Když necháte zubní kámen, nejde jen o ztrátu zubu. Zánět dásní se může rozšířit do těla. Bakterie z ústní dutiny se dostávají do krevního oběhu a přispívají k:

  • Zvýšenému riziku srdečních onemocnění
  • Diabetu - zánět dásní zhoršuje kontrolu cukru v krvi
  • Předčasnému porodu u těhotných žen
  • Problémům s pamětí a mozku - některé studie propojují dlouhodobý zánět v ústech s demencí

Toto není teorie - to jsou skutečné výsledky z klinických studií v USA a Evropě. Představte si: zubní kámen, který jste ignorovali, vás může vést k závažnějším problémům než jen k návštěvě zubního lékaře.

Koncepční ilustrace zubního kamene jako skalních útvarů v ústech

Je možné odstranit zubní kámen bez návštěvy zubního lékaře?

Ne. Ani jedna z „domácích triků“ - od koupení speciální pasty, přes odstraňovače kamene na Amazonu, až po rady z YouTube - není bezpečná ani účinná. Všechny tyto produkty slibují rychlé řešení, ale ve skutečnosti jen odstraňují povrchový plak nebo způsobují poškození. Některé přístroje prodávané jako „domácí ultrazvukové čističky“ nejsou schopny rozložit ztuhlý kámen. A pokud je použijete špatně, poškodíte zubní skloviny nebo dásně. Není to jen o penězích - je to o vašem zdraví.

Kolik stojí odstranění zubního kamene?

Cena závisí na množství kamene a na místě. V České republice se běžné profesionální čištění pohybuje mezi 500 a 1 200 korunami. To zahrnuje ultrazvuk, airflow a polévaní fluoridem. Některé zubní pojišťovny (jako je VZP) hradí jedno čištění ročně. Pokud máte nárok na slevu nebo podporu, zeptejte se svého zubního lékaře. Většina lidí si to připomene, když už je kámen moc velký - a potom platí dvojnásobek za léčbu zánětu nebo výplně.

Co dělat po čištění

Po odstranění zubního kamene je důležité udržet zuby čisté. Prvních 24 hodin se vyhýbejte:

  • Černému čaji, červenému vínů, kávě - mohou zbarvit zuby, které teď jsou hladké a snadno se barví
  • Kouření - nikotin a horký kouř způsobují rychlejší opětovný nános plaku
  • Agresivního čištění - nečistěte zuby příliš silně, hned po čištění jsou dásně citlivé

Po týdnu se vraťte ke své běžné hygieně. A nezapomeňte: první návštěva zubního lékaře po roce je vždycky lepší než návštěva po třech letech, kdy už je kámen na zubech jako kámen na zdi.

Může zubní kámen zmizet sám?

Ne. Zubní kámen je ztuhlá forma plaku, která se nemůže sama odstranit. I když se zdá, že se někdy „zmenšuje“, ve skutečnosti se jen přesouvá nebo se přikrývá novým plakem. Jediný způsob, jak ho úplně odstranit, je profesionální čištění u zubního hygienisty.

Je bolestivé odstranění zubního kamene?

Obvykle ne. Ultrazvukové čištění je jen nepříjemné, ale nebolestivé. Někteří lidé cítí lehký tlak nebo pískání. Pokud máte citlivé dásně nebo velmi mnoho kamene, může lékař použít mírné místní znehybnění - ale to je vzácné. Většina lidí říká, že je to mnohem příjemnější, než si mysleli.

Proč se po čištění dásně krvácí?

To je známka zánětu. Když se kámen odstraní, dásně se začnou hojit a mohou krátce krvácet. To je normální a ustoupí během několika dní, pokud budete pečlivě čistit zuby a používat nitě. Pokud krvácení přetrvává déle než týden, vraťte se k lékaři - může to znamenat hlubší zánět.

Může zubní kámen způsobit zápach z úst?

Ano. Kámen je pěstí pro bakterie, které produkují zápachové látky. I když čistíte zuby, ale neodstraníte kámen, zápach zůstane. Profesionální čištění často okamžitě zlepší chuť a vůni z úst - protože odstraní zdroj infekce.

Je lepší čistit zuby hned po jídle nebo počkat?

Počkejte 30 minut. Pokud jste jedli nebo pili něco kyselého (např. citron, víno, limonáda), je sklovina dočasně měkká. Čištění hned potom může poškodit povrch zubu. Počkejte půl hodiny - sliny pak přirozeně zneutralizují kyselinu a zuby se opět ztvrdnou.